- TREATMENT · FRONT TEETH
找回你的自然微笑,
用最適合你的方式。
前牙美學修復|美白・樹脂・貼片・全瓷冠
能簡單就不複雜。拒絕一來就推銷貼片的模組化美學。
- ONE MINUTE OVERVIEW
前牙美學,不只是「做貼片」
很多人來到診間的第一句話是「醫師我想做貼片」。但我從來不會在評估前就說「好」。
因為貼片只是其中一個選項,不是唯一解。
我會從最微創的美白或顯微樹脂開始評估,面對較大缺損才考慮陶瓷材質。透過口內模擬,一起討論出「最適合你」而非「最貴」的治療組合。
最微創優先
齒質保留永遠是第一順位
結果先模擬
治療前讓你看見未來的樣子
自然到看不出來
最高境界是別人看不出你做過
- WHO IT'S FOR
在你預約之前,先確認一下
- MY APPROACH
我和別家診所可能不一樣的三件事
破除昂貴迷思
貼片與全瓷冠只是追求美的「武器」,不是唯一解。我會先評估能否用最單純的方式解決——有時候一次專業美白 + 微創樹脂,就能達到你要的效果。
精準口內模擬
美學不是瞎猜。在任何重大治療前,我會用 X 光、口內照片和 3D 模擬,讓你先看見未來的樣子。
確認你真的想要,我們再開始。
最高境界的自然
讓別人覺得「你變好看了,但看不出來哪裡不一樣」。即便使用陶瓷,我追求的也是剛剛好的仿生設計——不做突兀的假牙感。
- TREATMENT OPTIONS
從最微創到最完整,四個治療階梯
我會根據你的齒質狀況、預算和長期穩定度需求,從第一階梯開始評估。不是每個人都需要做到最高階梯。
STEP 01
專業美白
適合
輕度變色、齒質健康
齒質保留
完全保留
療程
1-2 次
STEP 02
顯微美學樹脂
適合
小範圍缺損、變色、縫隙
齒質保留
微量磨除
療程
單次可完成
STEP 03
陶瓷貼片
適合
中度缺損、多顆需要統一改善
齒質保留
部分磨除
療程
約 2-3 週
STEP 04
全瓷冠
適合
大範圍缺損、根管後保護、全口重建
齒質保留
整顆包覆
療程
約 3-4 週
- CASE STUDY
兩個真實案例,兩種不同的選擇
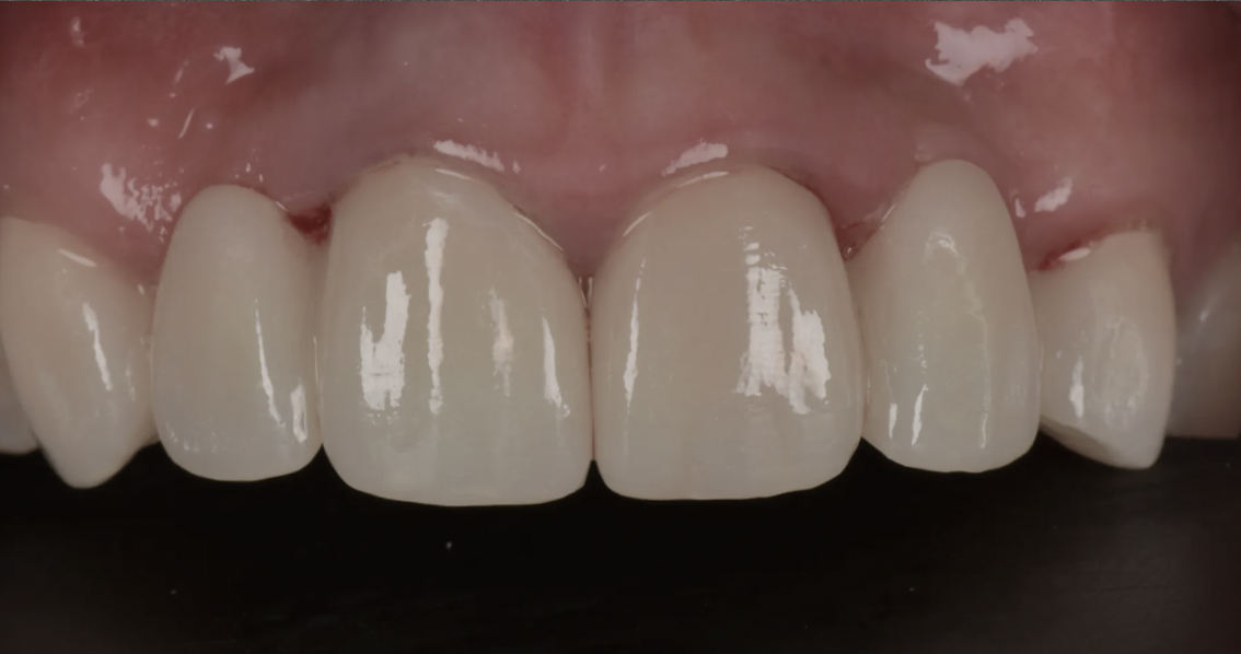
用最微創的方式,達到最自然的效果
一位40出頭的上班族,前牙有蛀牙變色問題,來找我時帶著「可能要做貼片」的預設答案。
但評估後我認為,他齒質完整度高,用顯微樹脂就能達到自然的效果,而且可以保留 100% 的原生齒質。
這是最微創的選擇,也是這位病人最適合的選擇。
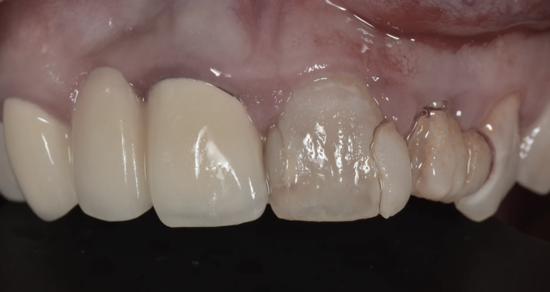
當齒質不夠,完整包覆才是對的選擇
前牙有大範圍舊補牙和二次蛀牙的狀況,齒質缺損超過一半。樹脂已經撐不住,貼片也無法提供足夠的保護。
我使用高透度陶瓷,搭配病人整體臉型比例做仿生設計,追求「看起來好看但看不出是假牙」的效果。
不是每個案例都這樣處理,是這個狀況必須這樣處理。
- FAQ
預約前,你可能想問的問題
美學樹脂追求「仿生與長期穩定」——在顯微放大下,用不同透度與顏色的樹脂分層堆疊,並精細拋光。可以做到與真牙無異的自然感,邊緣更密合,大幅降低變色或二次蛀牙的機率。
簡單講:健保補牙是「修」,美學樹脂是「仿」。
- BOOK A VISIT
你的前牙,值得一次最誠實的評估。
每個人的牙齒都不一樣,我需要親眼看見、親手摸到,才能告訴你最適合的方向。
在電話或 Line 上我無法給你完整的治療計畫——請來診所一趟。